Numérique 3-en-1
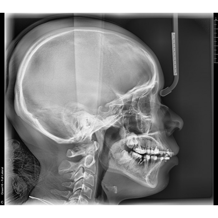
Pax-i 3D GREEN 2 est un système avancé d’imagerie à rayons X numérique 4-en-1, qui intègre PANO, CBCT, modèle de scan et CEPHALO (facultatif). Il fournit des images de haute qualité avec un rayonnement plus faible en combinant le traitement de l’image et l’expérience accumulée en imagerie dentaire de VATECH.
Cela va améliorer la précision de votre diagnostic avec une planification du traitement et une satisfaction des patients accrues.
DURÉE GREEN SCAN
Green 2 minimise l’artefact de mouvement et permet un flux de travail plus rapide grâce à son temps de scan.
Elle produit également de superbes images diagnostiques, qui seront une source de fierté pour tout cabinet dentaire, et améliorera également la santé et la sécurité de vos patients.
Découvrez une excellente qualité d’image grâce à l’expérience et à la technologie de pointe de VATECH.

Sélection de champs de vision multiples (Multi FOV)
Pax-i 3D Green 2 offre une gamme de champs de vision au choix.
Le Multi FOV permet à l’utilisateur de sélectionner le mode de champ de vision optimal et de minimiser l’exposition dans les zones qui ne sont pas dans la région d’intérêt. Vous pouvez sélectionner une taille de champ de vision appropriée parmi 16×9, 12×9, 8×9 et 5×5 en fonction de vos besoins diagnostiques.
Il couvre la région de l’arcade complète, les sinus et les ATM gauche/droite et convient à la plupart des cas de chirurgie buccale ainsi qu’à la pose d’implants multiples. Il peut également mesurer le volume des voies aériennes.
FAIBLE DOSE ET HAUTE QUALITÉ D’IMAGE
Les différentes innovations développées par VATECH surpassent de nombreuses limites conventionnelles en imagerie dentaire.
Nous avons toujours pensé qu’avec un faible rayonnement, la qualité de l’image était moins bonne et que celle-ci était inutile pour un diagnostic clinique.
Cependant, Pax-i 3D Green 2 vous permet d’obtenir des radios utilisables en situation clinique avec une faible dose de rayons X.
Une qualité d’image permettant une utilisation clinique avec une faible dose de rayons X, voilà la nouvelle norme d’excellence.
ART-V
L’artefact métallique entrave la visualisation de votre diagnostic et votre interprétation. Des images claires vous assurent une planification parfaite de vos implants. Et vous n’auriez pas à faire d’effort supplémentaire pour créer un guide chirurgical.
